Mikrobiom mózgu a bakterie jelitowe - jaki mają związek?


Przejrzane i zatwierdzone przez: psycholog Gema Sánchez Cuevas
Podczas ostatniego dorocznego zebrania Towarzystwa Neuronauki z Uniwersytetu Alabama w Birmingham, naukowcy przedstawili wyniki badań nad mózgiem. Wynika z nich, że w niektórych obszarach ludzkiego mózgu bytują niewielkie ilości bakterii z jelit i stanowią one mikrobiom mózgu.
Odkrycie to jest zarówno fascynujące, jak i niepokojące. Nie wiadomo, jaka drogą bakterie z jelit przedostają się do mózgu. Naukowcy nie potrafią również powiedzieć, czy ich obecność w tym narządzie przynosi korzyści, czy też szkody dla zdrowia. Eksperci zauważyli jednak, że mikrobiom mózgu może mieć wpływ na nasz nastrój, a może nawet na osobowość.
Mikrobiom mózgu, czy jelit?
Mikrobiom jelitowy to zbiór mikroorganizmów, które bytują w naszych jelitach. W jego skład wchodzi około stu bilionów różnych gatunków bakterii. Każda z bakterii posiada ponad trzy miliony genów. Tylko jedna trzecia z tego szerokiego wachlarza bakterii występuje u wszystkich ludzi. Pozostałe dwie trzecie to indywidualny zestaw, który w zależności od wielu czynników składa się na mikrobiom jelitowy danej osoby.
Bakterie jelitowe pełnią wiele ważnych ról. Są one niezbędne do prawidłowego funkcjonowania układu odpornościowego, przyswajania składników odżywczych i skutecznej kontroli zewnętrznych patogenów. Wszelkie zaburzenia równowagi w mikroflorze jelit mogą prowadzić do wystąpienia chorób autoimmunologicznych, alergii lub infekcji. Naukowcy odkryli również, że problemy z mikroflorą jelit przyczyniają się do występowania choroby Parkinsona i Alzheimera.

Warto również pamiętać, że nieprawidłowości w mikroflorze jelit prowadzą do wytwarzania endotoksyn. Są one także przyczyną szybszego utleniania komórek, jak również odkładania się tkanki tłuszczowej na brzuchu. Co więcej, kłopotom tym często towarzyszą długotrwałe stany zapalne, które z kolei przyczyniają się do występowania cukrzycy i chorób układu krążenia.
Jak wiemy, bakterie w ludzkim organizmie pełnią ważną rolę. Kluczem do dobrego zdrowia nie jest pozbywanie się ich, lecz osiągnięcie równowagi, która będzie służyć wszystkim procesom zachodzącym w naszym ciele.
Mikrobiom mózgu
Po ostatnich odkryciach naukowcy zaczęli się zastanawiać, w jaki sposób bakterie przedostają się z jelit do mózgu. Ten ważny narząd jest bowiem chroniony przez barierę krew-mózg. Bariera ta stanowi ochronę przed wszelkimi substancjami z zewnątrz. Przepuszcza ona wodę, niektóre cząsteczki rozpuszczalne w tłuszczach, pewne rodzaje gazów i aminokwasów. Bakterie, które znaleziono w mózgu, pochodzą jednak głównie z jelit.

Wspomniana bariera składa się między innymi z komórek glejowych, które wraz z neuronami chronią mózg przez neurotoksynami i innymi niebezpiecznymi substancjami. Te niebezpieczne związki mogą jednak w pewnych okolicznościach przedostać się do mózgu i prowadzić do poważnych, nawet śmiertelnych chorób. Najciekawsze jest to, że astrocyty, czyli największe z chroniących mózg komórek glejowych, zdają się być ulubionym miejscem bytowania bakterii jelitowych.
Badacze podejrzewają, że bakterie z mózgu mogą się przedostawać poprzez jelitowy układ nerwowy lub dostawać się do mózgu przez nos. Potem przenikają przez barierę krew-mózg. Póki co nie wiadomo jednak, jaka jest właściwa odpowiedź. Mikrobiom mózgu pozostaje niezwykle zagadkowym tematem, który wymaga jeszcze wielu badań.
Badania
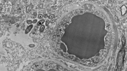
Mikrobiom mózgu został odkryty przez dr Rosalindę Roberts i jej zespół z Wydziału Psychiatrii i Neurobiologii Behawioralnej z Uniwersytetu Alabama w Birmingham. Naukowcy z tego zespołu przebadali mózgi 34 osób. Połowa z nich należała do osób zdrowych, a połowa do chorych na schizofrenię.
Co więcej, jednocześnie prowadzone były takie same badania na myszach. Prowadzono je, aby wykluczyć podejrzenie, że bakterie w mózgu pojawiają się dopiero po śmierci lub że proces ten zachodzi w wyniku zanieczyszczenia.
W obydwu równolegle prowadzonych badaniach wykazano, że obecność bakterii w mózgach zarówno ludzkich, jak i mysich, nie jest związane z żadnymi infekcjami ani urazami. Co więcej, bakterie jelitowe zostały odkryte w różnych obszarach mózgu,. Występują one głównie w istocie czarnej, hipokampie i korze przedczołowej oraz w mniejszych ilościach w prążkowiu. Warto też zauważyć, że w żadnym z badanych mózgów nie wykryto śladów stanów zapalnych.
Wstępne wyniki przeprowadzonych badań nie dają odpowiedzi na pytanie w jaki sposób mikrobiom jelitowy wpływa na mikrobiom mózgu. Pojawiają się nowe hipotezy, które wymagają weryfikacji w drodze badań. Obecnie jedyne, co do czego naukowcy wstępnie się zgadzają, jest teza, że mikrobiom mózgu ma wpływ na nasze zachowanie i nastrój. Podejrzewają również, że ma on związek z występowaniem niektórych chorób układu nerwowego.
Podczas ostatniego dorocznego zebrania Towarzystwa Neuronauki z Uniwersytetu Alabama w Birmingham, naukowcy przedstawili wyniki badań nad mózgiem. Wynika z nich, że w niektórych obszarach ludzkiego mózgu bytują niewielkie ilości bakterii z jelit i stanowią one mikrobiom mózgu.
Odkrycie to jest zarówno fascynujące, jak i niepokojące. Nie wiadomo, jaka drogą bakterie z jelit przedostają się do mózgu. Naukowcy nie potrafią również powiedzieć, czy ich obecność w tym narządzie przynosi korzyści, czy też szkody dla zdrowia. Eksperci zauważyli jednak, że mikrobiom mózgu może mieć wpływ na nasz nastrój, a może nawet na osobowość.
Mikrobiom mózgu, czy jelit?
Mikrobiom jelitowy to zbiór mikroorganizmów, które bytują w naszych jelitach. W jego skład wchodzi około stu bilionów różnych gatunków bakterii. Każda z bakterii posiada ponad trzy miliony genów. Tylko jedna trzecia z tego szerokiego wachlarza bakterii występuje u wszystkich ludzi. Pozostałe dwie trzecie to indywidualny zestaw, który w zależności od wielu czynników składa się na mikrobiom jelitowy danej osoby.
Bakterie jelitowe pełnią wiele ważnych ról. Są one niezbędne do prawidłowego funkcjonowania układu odpornościowego, przyswajania składników odżywczych i skutecznej kontroli zewnętrznych patogenów. Wszelkie zaburzenia równowagi w mikroflorze jelit mogą prowadzić do wystąpienia chorób autoimmunologicznych, alergii lub infekcji. Naukowcy odkryli również, że problemy z mikroflorą jelit przyczyniają się do występowania choroby Parkinsona i Alzheimera.

Warto również pamiętać, że nieprawidłowości w mikroflorze jelit prowadzą do wytwarzania endotoksyn. Są one także przyczyną szybszego utleniania komórek, jak również odkładania się tkanki tłuszczowej na brzuchu. Co więcej, kłopotom tym często towarzyszą długotrwałe stany zapalne, które z kolei przyczyniają się do występowania cukrzycy i chorób układu krążenia.
Jak wiemy, bakterie w ludzkim organizmie pełnią ważną rolę. Kluczem do dobrego zdrowia nie jest pozbywanie się ich, lecz osiągnięcie równowagi, która będzie służyć wszystkim procesom zachodzącym w naszym ciele.
Mikrobiom mózgu
Po ostatnich odkryciach naukowcy zaczęli się zastanawiać, w jaki sposób bakterie przedostają się z jelit do mózgu. Ten ważny narząd jest bowiem chroniony przez barierę krew-mózg. Bariera ta stanowi ochronę przed wszelkimi substancjami z zewnątrz. Przepuszcza ona wodę, niektóre cząsteczki rozpuszczalne w tłuszczach, pewne rodzaje gazów i aminokwasów. Bakterie, które znaleziono w mózgu, pochodzą jednak głównie z jelit.

Wspomniana bariera składa się między innymi z komórek glejowych, które wraz z neuronami chronią mózg przez neurotoksynami i innymi niebezpiecznymi substancjami. Te niebezpieczne związki mogą jednak w pewnych okolicznościach przedostać się do mózgu i prowadzić do poważnych, nawet śmiertelnych chorób. Najciekawsze jest to, że astrocyty, czyli największe z chroniących mózg komórek glejowych, zdają się być ulubionym miejscem bytowania bakterii jelitowych.
Badacze podejrzewają, że bakterie z mózgu mogą się przedostawać poprzez jelitowy układ nerwowy lub dostawać się do mózgu przez nos. Potem przenikają przez barierę krew-mózg. Póki co nie wiadomo jednak, jaka jest właściwa odpowiedź. Mikrobiom mózgu pozostaje niezwykle zagadkowym tematem, który wymaga jeszcze wielu badań.
Badania
Mikrobiom mózgu został odkryty przez dr Rosalindę Roberts i jej zespół z Wydziału Psychiatrii i Neurobiologii Behawioralnej z Uniwersytetu Alabama w Birmingham. Naukowcy z tego zespołu przebadali mózgi 34 osób. Połowa z nich należała do osób zdrowych, a połowa do chorych na schizofrenię.
Co więcej, jednocześnie prowadzone były takie same badania na myszach. Prowadzono je, aby wykluczyć podejrzenie, że bakterie w mózgu pojawiają się dopiero po śmierci lub że proces ten zachodzi w wyniku zanieczyszczenia.
W obydwu równolegle prowadzonych badaniach wykazano, że obecność bakterii w mózgach zarówno ludzkich, jak i mysich, nie jest związane z żadnymi infekcjami ani urazami. Co więcej, bakterie jelitowe zostały odkryte w różnych obszarach mózgu,. Występują one głównie w istocie czarnej, hipokampie i korze przedczołowej oraz w mniejszych ilościach w prążkowiu. Warto też zauważyć, że w żadnym z badanych mózgów nie wykryto śladów stanów zapalnych.
Wstępne wyniki przeprowadzonych badań nie dają odpowiedzi na pytanie w jaki sposób mikrobiom jelitowy wpływa na mikrobiom mózgu. Pojawiają się nowe hipotezy, które wymagają weryfikacji w drodze badań. Obecnie jedyne, co do czego naukowcy wstępnie się zgadzają, jest teza, że mikrobiom mózgu ma wpływ na nasze zachowanie i nastrój. Podejrzewają również, że ma on związek z występowaniem niektórych chorób układu nerwowego.
Wszystkie cytowane źródła zostały gruntownie przeanalizowane przez nasz zespół w celu zapewnienia ich jakości, wiarygodności, aktualności i ważności. Bibliografia tego artykułu została uznana za wiarygodną i dokładną pod względem naukowym lub akademickim.
- Barksdale KA, Perez-Costas E, Gandy JC, Melendez-Ferro M, Roberts RC*, Bijur GN* (2010) Mitochondrial viability in mouse and human postmortem brain. FASEB J, 24(9):3590-3599
- Do gut bacteria make a second home in our brains? (2018, November 9). Retrieved March 4, 2019, from https://www.sciencemag.org/news/2018/11/do-gut-bacteria-make-second-home-our-brains
Ten tekst jest oferowany wyłącznie w celach informacyjnych i nie zastępuje konsultacji z profesjonalistą. W przypadku wątpliwości skonsultuj się ze swoim specjalistą.







