Obrazowanie aktywności mózgu w okresie płodowym

Jeszcze całkiem niedawno obrazowanie aktywności mózgu płodu znajdującego się w łonie matki należało do czynności bardzo skomplikowanych. Dzięki zastosowaniu nowoczesnej niezwykle zaawansowanej technologii uzyskanie takich obrazów zostało znacznie ułatwione. Wysokiej jakości obrazowanie aktywności mózgu pozwalają nam dokładniej przyjrzeć się jego rozwojowi.
Rezonans magnetyczny mózgu płodu jest jedną z metod wykorzystywanych do badania, któremu poddaje się wiele przyszłych matek. Powód jest zazwyczaj ten sam: chęć uzyskania morfologicznych i biometrycznych danych płodu, dzięki którym możliwe jest stwierdzenie jakichkolwiek odstępstw od normy.
Życie jest fascynujące, trzeba tylko patrzeć na nie z odpowiedniej perspektywy
-Alejandro Dumas-
Obrazowanie aktywności mózgu przeprowadza się zazwyczaj po upływie dwudziestego tygodnia ciąży, krótko po tym, jak uformowaniu ulega ciało modzelowate. Płód znajduje się w płynie owodniowym, który stanowi przeszkodę dla uzyskania wysokiej jakości wyników badań wykonywanych przy pomocy rezonansu magnetycznego. W takich warunkach jakikolwiek ruch negatywnie wpływa na uzyskiwane obrazy.
Tego rodzaju badania okazują się skuteczne i miarodajne wyłącznie w 50 procentach. Na szczęście dane te ulegną zmianie dzięki nowemu rozwiązaniu. Obrazowanie aktywności mózgu dziecka stanie się o wiele precyzyjniejsze dzięki rozwojowi technologii.

Obrazowanie aktywności mózgu płodu
Na powyższym zdjęciu możemy zobaczyć wyniki rezonansu magnetycznego płodu w 20 oraz w 40 tygodniu życia. Obrazy uzyskano w Uniwersytecie Stanowym Wayne w Michigan w Stanach Zjednoczonych. Zdjęcia te umożliwiają ocenę aktywności mózgowej płodu w łonie matki.
Najważniejszym celem naukowców uzyskujących takie obrazy jest badanie jakości połączeń nerwowych nienarodzonego jeszcze dziecka w ostatnich tygodniach przed rozwiązaniem. Badania te umożliwiają zrozumienie jak dotąd nieznanych aspektów związanych z rozwojem płodu.
Słabe połączenia nerwowe u wcześniaków
Rezultaty badania opublikowano na łamach czasopisma “Scientific Reports”. Aby skutecznie przeprowadzić je przy użyciu nowoczesnego rezonansu magnetycznego konsekwentnie badano 36 ciężarnych kobiet na etapie od 20 do 36 tygodnia ciąży. Połowa z nich była w ciąży zagrożonej i dzieci urodziły przedwcześnie.
- Odkryto, że u wcześniaków występują o wiele słabsze połączenia nerwowe, niż w tym samym tygodniu ciąży u innych płodów.
- Jak dotąd zakładano, że słabe połączenia nerwowe stanowią rezultat traumatycznego porodu bądź skutek niedotlenienia.
Jednakże dzięki nowym rezultatom badań można dostrzec, że problem pojawia się o wiele wcześniej. Słabe połączenia nerwowe widoczne są bowiem dzięki przeprowadzonemu obrazowaniu. Największe różnice w jakości połączeń nerwowych widoczne są przede wszystkim w okolicy Brocka, czyli w części mózgu odpowiedzialnej za procesy językowe.

W czym jeszcze pomoże nowoczesne obrazowanie aktywności mózgu?
Jak już wspomnieliśmy, obrazowanie aktywności mózgu ma na celu wykazanie jakichkolwiek nieprawidłowości w jego funkcjonowaniu. Nie można przeoczyć faktu, że ostatnimi czasy rodzi się coraz więcej wcześniaków. To sprawia, że zarówno lekarze jak i naukowcy skupiają się na opracowywaniu nowych strategii i sposobów reagowania.
- Otrzymywane wyniki badań pozwoliły zauważyć, że w przypadku wielu wcześniaków dochodzi do pojawienia się stanu zapalnego łożyska. To sprawia, że naukowcy szukają zależności między pojawiającym się stanem zapalnym, a faktem, że dziecko rodzi się zbyt wcześnie.
- Im szybciej wykryte zostają anomalia, tym większa jest szansa na podjęcie odpowiednich działań. Nie powinniśmy przy tym zapominać, że u wcześniaków występuje większe ryzyko zapadnięcia na autyzm, brak skupienia uwagi, a także inne rodzaje zaburzeń, które wymagać będą specjalnej uwagi jeśli chodzi o procesy związane z nauką.
Im mniej się tego spodziewasz, tym większe wyzwania stawia przed Tobą życie
-Paulo Coelho-

Daleko zaawansowane obrazowanie aktywności mózgu otwiera przed nami drzwi do lepszego zrozumienia sposobu, w jaki rozwija się płód. Będzie też stanowić niezwykłe narzędzie w rękach specjalistów, którzy będą mogli jeszcze lepiej zaspokajać potrzeby najmłodszych pacjentów. Zmiany tej potrzebują nie tylko wcześniaki, ale również ich rodziny, lekarze i naukowcy.
Jeszcze całkiem niedawno obrazowanie aktywności mózgu płodu znajdującego się w łonie matki należało do czynności bardzo skomplikowanych. Dzięki zastosowaniu nowoczesnej niezwykle zaawansowanej technologii uzyskanie takich obrazów zostało znacznie ułatwione. Wysokiej jakości obrazowanie aktywności mózgu pozwalają nam dokładniej przyjrzeć się jego rozwojowi.
Rezonans magnetyczny mózgu płodu jest jedną z metod wykorzystywanych do badania, któremu poddaje się wiele przyszłych matek. Powód jest zazwyczaj ten sam: chęć uzyskania morfologicznych i biometrycznych danych płodu, dzięki którym możliwe jest stwierdzenie jakichkolwiek odstępstw od normy.
Życie jest fascynujące, trzeba tylko patrzeć na nie z odpowiedniej perspektywy
-Alejandro Dumas-
Obrazowanie aktywności mózgu przeprowadza się zazwyczaj po upływie dwudziestego tygodnia ciąży, krótko po tym, jak uformowaniu ulega ciało modzelowate. Płód znajduje się w płynie owodniowym, który stanowi przeszkodę dla uzyskania wysokiej jakości wyników badań wykonywanych przy pomocy rezonansu magnetycznego. W takich warunkach jakikolwiek ruch negatywnie wpływa na uzyskiwane obrazy.
Tego rodzaju badania okazują się skuteczne i miarodajne wyłącznie w 50 procentach. Na szczęście dane te ulegną zmianie dzięki nowemu rozwiązaniu. Obrazowanie aktywności mózgu dziecka stanie się o wiele precyzyjniejsze dzięki rozwojowi technologii.

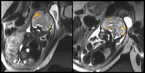
Obrazowanie aktywności mózgu płodu
Na powyższym zdjęciu możemy zobaczyć wyniki rezonansu magnetycznego płodu w 20 oraz w 40 tygodniu życia. Obrazy uzyskano w Uniwersytecie Stanowym Wayne w Michigan w Stanach Zjednoczonych. Zdjęcia te umożliwiają ocenę aktywności mózgowej płodu w łonie matki.
Najważniejszym celem naukowców uzyskujących takie obrazy jest badanie jakości połączeń nerwowych nienarodzonego jeszcze dziecka w ostatnich tygodniach przed rozwiązaniem. Badania te umożliwiają zrozumienie jak dotąd nieznanych aspektów związanych z rozwojem płodu.
Słabe połączenia nerwowe u wcześniaków
Rezultaty badania opublikowano na łamach czasopisma “Scientific Reports”. Aby skutecznie przeprowadzić je przy użyciu nowoczesnego rezonansu magnetycznego konsekwentnie badano 36 ciężarnych kobiet na etapie od 20 do 36 tygodnia ciąży. Połowa z nich była w ciąży zagrożonej i dzieci urodziły przedwcześnie.
- Odkryto, że u wcześniaków występują o wiele słabsze połączenia nerwowe, niż w tym samym tygodniu ciąży u innych płodów.
- Jak dotąd zakładano, że słabe połączenia nerwowe stanowią rezultat traumatycznego porodu bądź skutek niedotlenienia.
Jednakże dzięki nowym rezultatom badań można dostrzec, że problem pojawia się o wiele wcześniej. Słabe połączenia nerwowe widoczne są bowiem dzięki przeprowadzonemu obrazowaniu. Największe różnice w jakości połączeń nerwowych widoczne są przede wszystkim w okolicy Brocka, czyli w części mózgu odpowiedzialnej za procesy językowe.

W czym jeszcze pomoże nowoczesne obrazowanie aktywności mózgu?
Jak już wspomnieliśmy, obrazowanie aktywności mózgu ma na celu wykazanie jakichkolwiek nieprawidłowości w jego funkcjonowaniu. Nie można przeoczyć faktu, że ostatnimi czasy rodzi się coraz więcej wcześniaków. To sprawia, że zarówno lekarze jak i naukowcy skupiają się na opracowywaniu nowych strategii i sposobów reagowania.
- Otrzymywane wyniki badań pozwoliły zauważyć, że w przypadku wielu wcześniaków dochodzi do pojawienia się stanu zapalnego łożyska. To sprawia, że naukowcy szukają zależności między pojawiającym się stanem zapalnym, a faktem, że dziecko rodzi się zbyt wcześnie.
- Im szybciej wykryte zostają anomalia, tym większa jest szansa na podjęcie odpowiednich działań. Nie powinniśmy przy tym zapominać, że u wcześniaków występuje większe ryzyko zapadnięcia na autyzm, brak skupienia uwagi, a także inne rodzaje zaburzeń, które wymagać będą specjalnej uwagi jeśli chodzi o procesy związane z nauką.
Im mniej się tego spodziewasz, tym większe wyzwania stawia przed Tobą życie
-Paulo Coelho-

Daleko zaawansowane obrazowanie aktywności mózgu otwiera przed nami drzwi do lepszego zrozumienia sposobu, w jaki rozwija się płód. Będzie też stanowić niezwykłe narzędzie w rękach specjalistów, którzy będą mogli jeszcze lepiej zaspokajać potrzeby najmłodszych pacjentów. Zmiany tej potrzebują nie tylko wcześniaki, ale również ich rodziny, lekarze i naukowcy.
Ten tekst jest oferowany wyłącznie w celach informacyjnych i nie zastępuje konsultacji z profesjonalistą. W przypadku wątpliwości skonsultuj się ze swoim specjalistą.







