Jądro półleżące - ośrodek przyjemności i motywacji


Napisane i zweryfikowane przez psycholog Sergio De Dios González
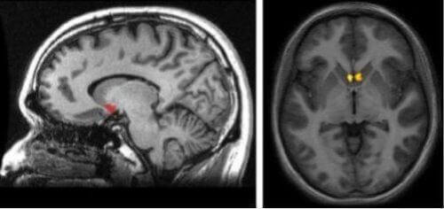
Jądro półleżące (nucleus accumbens) to ośrodek w mózgu, który odpowiada m.in. za odczuwanie przyjemności. To on pomaga człowiekowi znaleźć motywację do osiągania kolejnych celów i uwierzyć, że podejmowane wysiłki się opłacą. Ten sam ośrodek pozwala na odczuwanie intensywnej przyjemności np. podczas pocałunku lub spożywania smacznego posiłku. Dlatego też jądro półleżące to niezwykle ważny i wyjątkowy obszar skomplikowanego, ludzkiego mózgu.
Wiele osób nie zdaje sobie sprawy z tego, jak funkcjonują różne obszary mózgu dopóki nie zetknie się z sytuacją, w której ktoś doznaje urazu głowy. Znajomość podstawowych procesów zachodzących w mózgu znacznie jednak pomaga w zrozumieniu własnych zachowań, kierujących nami impulsów i motywacji, jaka stoi za naszym działaniem.
Każda z półkul mózgowych ma własne jądro półleżące i to właśnie te ośrodki sprawiają, że nieustannie znajdujemy motywację do działania. Dotyczy to wszystkich obszarów naszego życia – dążenia do osiągnięcia równowagi emocjonalnej, dobrego samopoczucia, satysfakcji seksualnej, do poznawania nowych bodźców itp.
Co to jest jądro półleżące?
Jądro półleżące to obszar w mózgu, o którym póki co mało wiemy i który prowokuje mnóstwo pytań nawet na polu neuronauki. Wiemy, że jego głównym zadaniem jest aktywowanie systemu motywacji i stymulowanie do działania. To właśnie jądro półleżące zamienia chęci, przypływ optymizmu i pragnienie zwycięstwa w prowadzącą do celu serię zachowań.

Jądro półleżące leży w miejscu, gdzie łączą się jądro ogoniaste, skorupa i przegroda. To umiejscowienie jest jedną z najważniejszych cech jądra półleżącego, ponieważ oznacza to, że obszar ten znajduje się na drodze, jaką przemieszcza się dopamina. Jest to tak zwany szlak szlak mezolimbiczny. Pojawia się tutaj aktywność za każdym razem, kiedy twój mózg rejestruje, że doświadczasz czegoś przyjemnego lub satysfakcjonującego.
Jak już wspomnieliśmy wcześniej, jądro półleżące pozostaje w dużej mierze zagadką dla naukowców. Jeszcze do niedawna uważano bowiem, że odpowiada ono tylko za przyjemne doświadczenia. Dziś wiemy już jednak, że pełni ono również ważne funkcje w przypadku nieprzyjemnych sytuacji. Kiedy spotyka nas coś niemiłego, wspomniany obszar motywuje nas do ucieczki z danej sytuacji. W związku z tym, jądro półleżące odgrywa kluczową rolę w procesie przetrwania. Podpowiada, jakie zachowania ci służą, a jakie są dla ciebie szkodliwe.
Jądro półleżące i jego budowa
Każda z półkul ma własne jądro półleżące. Dzięki temu układ nagrody stymulowany dopaminą aktywuje obydwie części mózgu. Jądro to stanowi również część struktury zwanej jądrami podstawnymi, przez co jest połączone z wieloma obszarami mózgu. Najważniejszą jego cechą jest jednak fakt, że łączy się on z układem limbicznym. Ten z kolei składa się ze wzgórza, podwzgórza i ciała migdałowatego, czyli elementów odgrywających niezwykle ważną rolę w zarządzaniu emocjami.

Jądro półleżące ma skomplikowaną budowę, dzięki czemu może pełnić rolę bardzo istotnego przekaźnika w mózgu. Aby móc lepiej zrozumieć te procesy, przyjrzyjmy się głównym jego elementom.
1. Skorupa
Skorupa to bez wątpienia najciekawsza część jądra półleżącego. To poprzez nią tworzą się połączenia z systemem limbicznym i z płatem czołowym. Ta część pełni rolę swego rodzaju pomostu ponieważ otrzymuje i nadaje informacje. Jednocześnie pozyskuje m.in. dopamainę, serotoninę i glutaminian oraz reguluje ich ilości.

2. Istota czarna
Jest to centralna część jądra półleżącego, odpowiedzialna za zarządzanie funkcjami motorycznymi poprzez łączenie ich ze zwojami podstawy i korą ruchową. Co ciekawe, to właśnie ten obszar aktywuje większość działań i ruchów wynikających z emocji. Innymi słowy, jądro półleżące motywuje cię do podniesienia się z kanapy i podjęcia działań.
Jądro półleżące i jego funkcje
Wiemy już, że głównymi zadaniami jądra półleżącego jest kontrola motywacji, uczucia przyjemności i satysfakcji oraz stymulowanie nas do działania. Obszar ten pełni jednak bardzo ważną rolę także w innych procesach:
- Pomaga planować zadania. Dzięki temu, że jądro to jest połączone z korą mózgową, pomaga nam ono ustalać cele i planować drogę do ich osiągnięcia.
- Ułatwia ocenę sytuacji. Jądro półleżące jest połączone z pamięcią emocjonalną. Dlatego też pomaga analizować daną sytuację i podjąć decyzje dotyczące ewentualnych zmian. To właśnie ten obszar się uaktywnia, kiedy zastanawiasz się, czy warto dążyć dalej do ustalonego wcześniej celu, czy też lepiej zmienić nieco kurs albo przesunąć termin wykonania jakiegoś zadania.
- Pomaga uczyć się i łączyć nowe informacje z tymi już przyswojonymi. Nauka zawsze idzie w parze z motywacją. Tak naprawdę najszybciej uczymy się, gdy przyswajaniu nowych informacji towarzyszą pozytywne emocje.
- Pozwala odczuwać przyjemność z seksu i jedzenia. Jak wiemy, uczucie przyjemności nie jest kontrolowane tylko i wyłącznie przez omawiany obszar mózgu. Stanowi on jednak kluczowy element na drodze neuroprzekaźników, w tym dopaminy, która ma ścisły związek z odczuwaniem przyjemności i radości, ale też z kreowaniem uzależnienia.
Podsumowując, ludzki mózg kryje przed nami jeszcze wiele zagadek. Organ ten jest doskonałą maszyną, w której każdy element pełni niezliczone funkcje. Najważniejsze jednak, że żaden element mózgu nie pełni swoich funkcji w sposób niezależny. Wszystkie obszary są ze sobą połączone i działają w fascynującej harmonii, a jądro półleżące jest niezwykłym elementem tej nieodgadnionej e dużej mierze struktury.
Jądro półleżące (nucleus accumbens) to ośrodek w mózgu, który odpowiada m.in. za odczuwanie przyjemności. To on pomaga człowiekowi znaleźć motywację do osiągania kolejnych celów i uwierzyć, że podejmowane wysiłki się opłacą. Ten sam ośrodek pozwala na odczuwanie intensywnej przyjemności np. podczas pocałunku lub spożywania smacznego posiłku. Dlatego też jądro półleżące to niezwykle ważny i wyjątkowy obszar skomplikowanego, ludzkiego mózgu.
Wiele osób nie zdaje sobie sprawy z tego, jak funkcjonują różne obszary mózgu dopóki nie zetknie się z sytuacją, w której ktoś doznaje urazu głowy. Znajomość podstawowych procesów zachodzących w mózgu znacznie jednak pomaga w zrozumieniu własnych zachowań, kierujących nami impulsów i motywacji, jaka stoi za naszym działaniem.
Każda z półkul mózgowych ma własne jądro półleżące i to właśnie te ośrodki sprawiają, że nieustannie znajdujemy motywację do działania. Dotyczy to wszystkich obszarów naszego życia – dążenia do osiągnięcia równowagi emocjonalnej, dobrego samopoczucia, satysfakcji seksualnej, do poznawania nowych bodźców itp.
Co to jest jądro półleżące?
Jądro półleżące to obszar w mózgu, o którym póki co mało wiemy i który prowokuje mnóstwo pytań nawet na polu neuronauki. Wiemy, że jego głównym zadaniem jest aktywowanie systemu motywacji i stymulowanie do działania. To właśnie jądro półleżące zamienia chęci, przypływ optymizmu i pragnienie zwycięstwa w prowadzącą do celu serię zachowań.

Jądro półleżące leży w miejscu, gdzie łączą się jądro ogoniaste, skorupa i przegroda. To umiejscowienie jest jedną z najważniejszych cech jądra półleżącego, ponieważ oznacza to, że obszar ten znajduje się na drodze, jaką przemieszcza się dopamina. Jest to tak zwany szlak szlak mezolimbiczny. Pojawia się tutaj aktywność za każdym razem, kiedy twój mózg rejestruje, że doświadczasz czegoś przyjemnego lub satysfakcjonującego.
Jak już wspomnieliśmy wcześniej, jądro półleżące pozostaje w dużej mierze zagadką dla naukowców. Jeszcze do niedawna uważano bowiem, że odpowiada ono tylko za przyjemne doświadczenia. Dziś wiemy już jednak, że pełni ono również ważne funkcje w przypadku nieprzyjemnych sytuacji. Kiedy spotyka nas coś niemiłego, wspomniany obszar motywuje nas do ucieczki z danej sytuacji. W związku z tym, jądro półleżące odgrywa kluczową rolę w procesie przetrwania. Podpowiada, jakie zachowania ci służą, a jakie są dla ciebie szkodliwe.
Jądro półleżące i jego budowa
Każda z półkul ma własne jądro półleżące. Dzięki temu układ nagrody stymulowany dopaminą aktywuje obydwie części mózgu. Jądro to stanowi również część struktury zwanej jądrami podstawnymi, przez co jest połączone z wieloma obszarami mózgu. Najważniejszą jego cechą jest jednak fakt, że łączy się on z układem limbicznym. Ten z kolei składa się ze wzgórza, podwzgórza i ciała migdałowatego, czyli elementów odgrywających niezwykle ważną rolę w zarządzaniu emocjami.

Jądro półleżące ma skomplikowaną budowę, dzięki czemu może pełnić rolę bardzo istotnego przekaźnika w mózgu. Aby móc lepiej zrozumieć te procesy, przyjrzyjmy się głównym jego elementom.
1. Skorupa
Skorupa to bez wątpienia najciekawsza część jądra półleżącego. To poprzez nią tworzą się połączenia z systemem limbicznym i z płatem czołowym. Ta część pełni rolę swego rodzaju pomostu ponieważ otrzymuje i nadaje informacje. Jednocześnie pozyskuje m.in. dopamainę, serotoninę i glutaminian oraz reguluje ich ilości.

2. Istota czarna
Jest to centralna część jądra półleżącego, odpowiedzialna za zarządzanie funkcjami motorycznymi poprzez łączenie ich ze zwojami podstawy i korą ruchową. Co ciekawe, to właśnie ten obszar aktywuje większość działań i ruchów wynikających z emocji. Innymi słowy, jądro półleżące motywuje cię do podniesienia się z kanapy i podjęcia działań.
Jądro półleżące i jego funkcje
Wiemy już, że głównymi zadaniami jądra półleżącego jest kontrola motywacji, uczucia przyjemności i satysfakcji oraz stymulowanie nas do działania. Obszar ten pełni jednak bardzo ważną rolę także w innych procesach:
- Pomaga planować zadania. Dzięki temu, że jądro to jest połączone z korą mózgową, pomaga nam ono ustalać cele i planować drogę do ich osiągnięcia.
- Ułatwia ocenę sytuacji. Jądro półleżące jest połączone z pamięcią emocjonalną. Dlatego też pomaga analizować daną sytuację i podjąć decyzje dotyczące ewentualnych zmian. To właśnie ten obszar się uaktywnia, kiedy zastanawiasz się, czy warto dążyć dalej do ustalonego wcześniej celu, czy też lepiej zmienić nieco kurs albo przesunąć termin wykonania jakiegoś zadania.
- Pomaga uczyć się i łączyć nowe informacje z tymi już przyswojonymi. Nauka zawsze idzie w parze z motywacją. Tak naprawdę najszybciej uczymy się, gdy przyswajaniu nowych informacji towarzyszą pozytywne emocje.
- Pozwala odczuwać przyjemność z seksu i jedzenia. Jak wiemy, uczucie przyjemności nie jest kontrolowane tylko i wyłącznie przez omawiany obszar mózgu. Stanowi on jednak kluczowy element na drodze neuroprzekaźników, w tym dopaminy, która ma ścisły związek z odczuwaniem przyjemności i radości, ale też z kreowaniem uzależnienia.
Podsumowując, ludzki mózg kryje przed nami jeszcze wiele zagadek. Organ ten jest doskonałą maszyną, w której każdy element pełni niezliczone funkcje. Najważniejsze jednak, że żaden element mózgu nie pełni swoich funkcji w sposób niezależny. Wszystkie obszary są ze sobą połączone i działają w fascynującej harmonii, a jądro półleżące jest niezwykłym elementem tej nieodgadnionej e dużej mierze struktury.
Ten tekst jest oferowany wyłącznie w celach informacyjnych i nie zastępuje konsultacji z profesjonalistą. W przypadku wątpliwości skonsultuj się ze swoim specjalistą.







